WE ARE OPEN EVERY DAY 10:30 AM – 1:30 PM & 4:00 PM – 8:30 PM

Dental Fillings

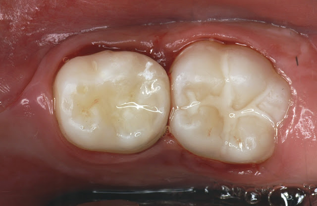
Dental fillings repair cavities and restore teeth to their natural shape, strength, and function.

Restorative Material

Identify decay using exam and X-ray.

Restorative dental materials are designed to replace or repair damaged tooth structure, restoring both function and esthetics. The choice of material depends on clinical requirements, tooth location, functional demands, and patient preferences.

Common materials include:

  • Composite Resin: Tooth-colored, versatile, ideal for anterior and posterior restorations.

  • Glass Ionomer Cement (GIC): Releases fluoride and bonds chemically to tooth structure; suitable for non-load-bearing restorations.

  • Resin-Modified Glass Ionomer Cement (RMGIC): Combines the benefits of GIC (fluoride release and chemical bonding) with enhanced strength, wear resistance, and esthetics due to added resin. It is suitable for small to moderate restorations, cervical lesions, and as a base/liner under composites

.

Better aesthetics, Improve Health

Modern dental materials help restore damaged teeth while keeping them strong and looking natural. Tooth-colored fillings like composites blend seamlessly with your smile, while materials like GIC and RMGIC release fluoride to help prevent further decay. These restorations are durable, comfortable, and usually completed in a single visit, protecting your teeth and improving oral health with minimal discomfort.

Placing a filling is typically fast and done with local anesthesia to ensure your comfort. Prompt treatment stops decay from spreading deeper into the tooth, preventing the need for more complex procedures.

The 10-Step Filling Protocol

Protect Your Smile Today

Book your consultation today with our expert endodontist!