WE ARE OPEN EVERY DAY 10:30 AM – 1:30 PM & 4:00 PM – 8:30 PM

Trauma Injuries

Dental Trauma Management in Karachi At Aura Dental & Aesthetic Studio

Immediate & Comprehensive Dental Trauma Care

Dental injuries can happen unexpectedly — during sports, accidents, or daily activities.
At Aura Dental & Aesthetic Studio, we offer immediate and comprehensive dental trauma care, from tooth fractures to minor jaw injuries, ensuring your comfort and full recovery.

Our clinic is equipped for advanced trauma procedures, including Intermaxillary Fixation (IMF), tooth reimplantation, and splinting — all performed safely under local anesthesia.

⚙️ Dental Trauma Treatments We Offer

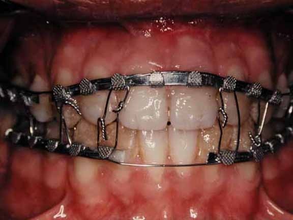
1. Intermaxillary Fixation (IMF)

We perform IMF for selected jaw and dental injuries that require stabilization but not hospital admission.
This involves temporarily fixing the upper and lower jaws to restore alignment and allow proper bone healing.
We use eyelet wiring, Erich’s arch bars, or elastic fixation systems, all under sterile conditions and local anesthesia, with regular follow-up.

2. Tooth Fracture Repair

We manage chipped or broken teeth with:

  • Composite restorations or bonding

  • Root canal therapy for pulp involvement

  • Crowns or onlays if needed for strength and aesthetics

3. Tooth Repositioning & Splinting

For displaced or loosened teeth, we offer:

  • Gentle repositioning under local anesthesia

  • Splinting for stabilization (2–4 weeks)

  • Regular vitality testing and follow-up

4. Avulsed (Knocked-Out) Tooth Reimplantation

If a permanent tooth is knocked out:

  • Immediate reimplantation and splinting are performed

  • Antibiotics and follow-up RCT if necessary
    (Primary teeth are not reimplanted.)

5. Soft Tissue & Minor Bone Injury Care

We treat oral cuts, gum lacerations, and small alveolar bone fractures with:

  • Cleaning and suturing under local anesthesia

  • Antibiotic coverage and monitoring

  • Cosmetic healing guidance

Why Quick Treatment Matters

Immediate management prevents:

  • Tooth loss

  • Infection or abscess

  • Long-term bite or facial changes

Our focus is to preserve your natural teeth and ensure complete functional and aesthetic recovery.

🚨 Emergency Dental Care

For any dental injury — from a chipped tooth to a jaw trauma — contact Aura Dental & Aesthetic Studio immediately.
We provide same-day assessments, splinting, and emergency stabilization in a calm, safe setting.